
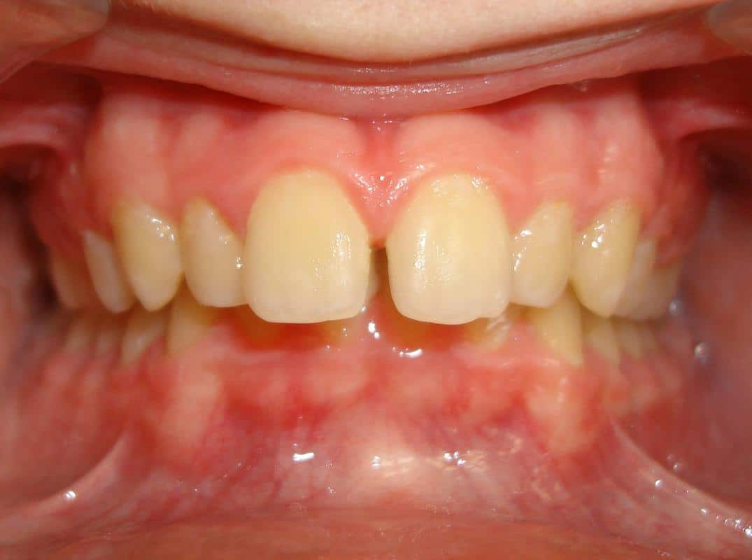
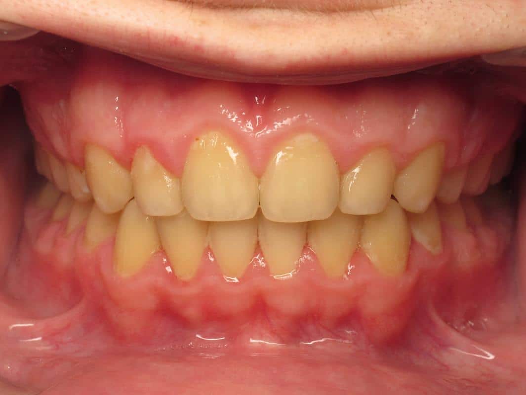
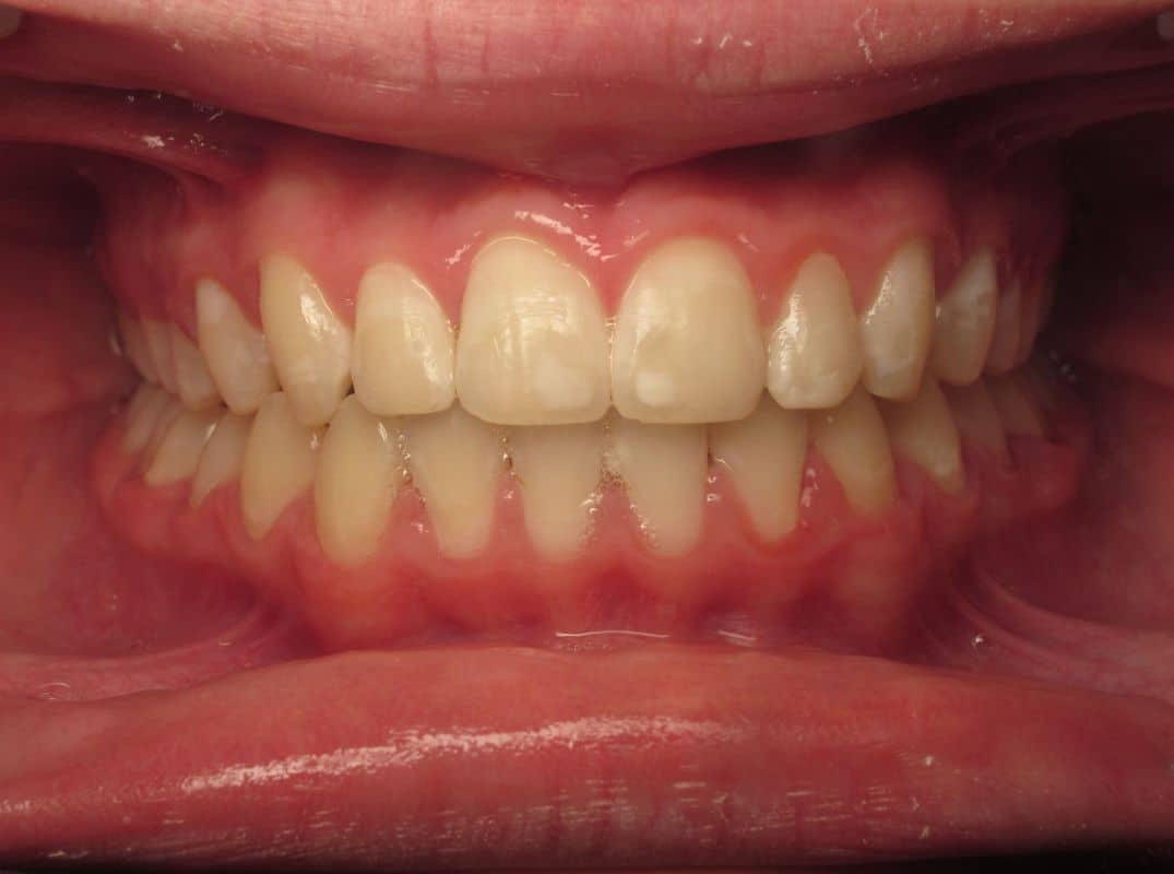
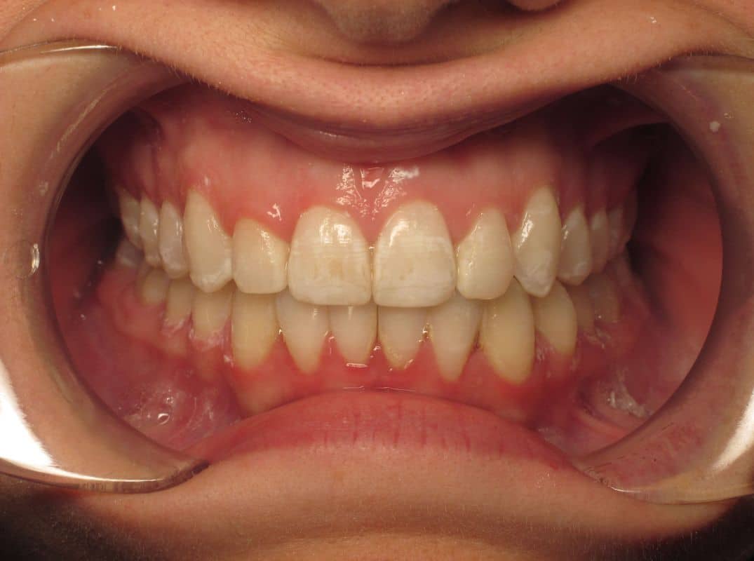
Before & After Gallery
Our Amazing Patient Results
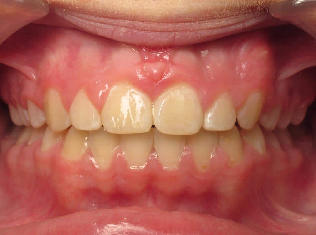
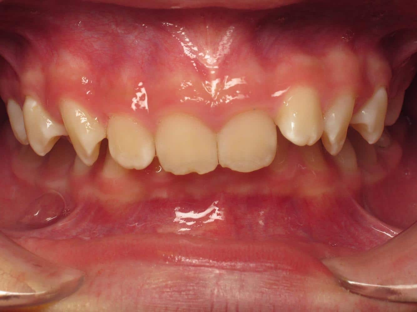
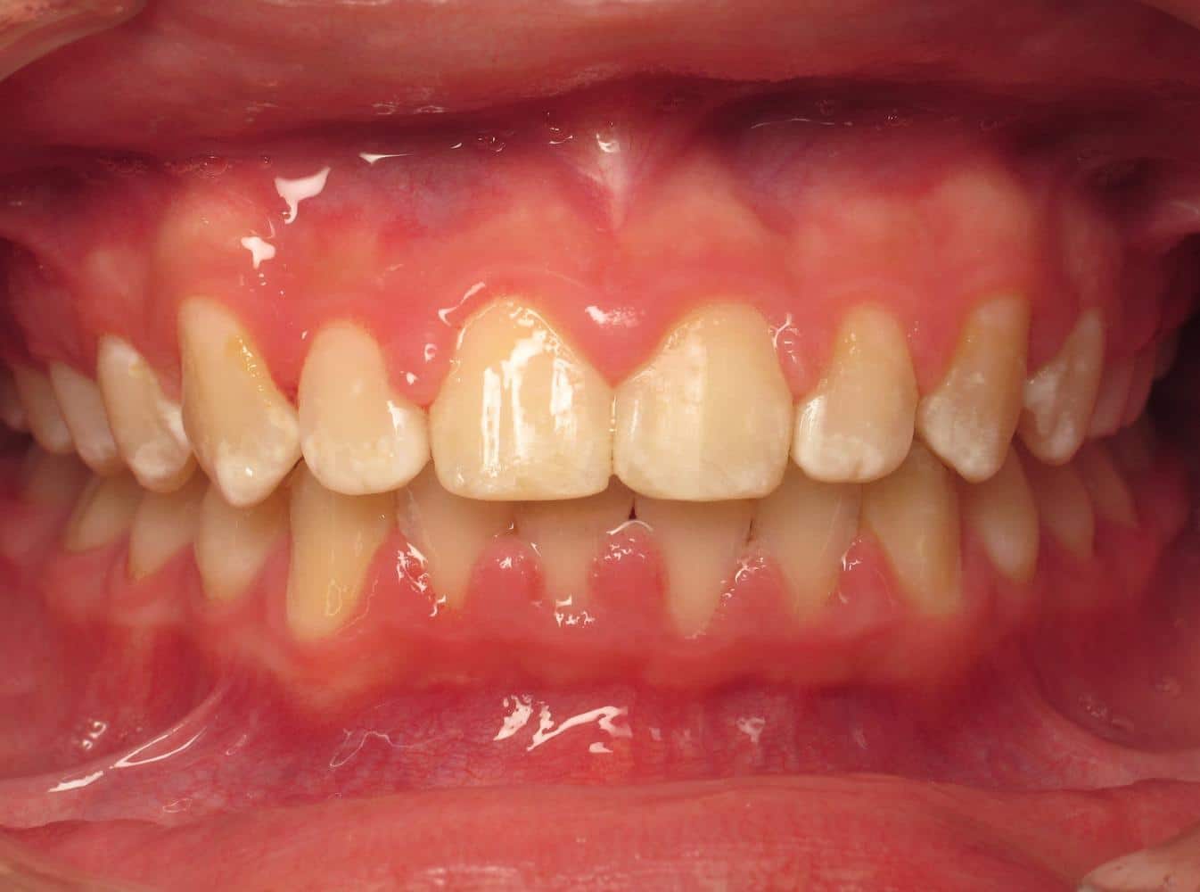
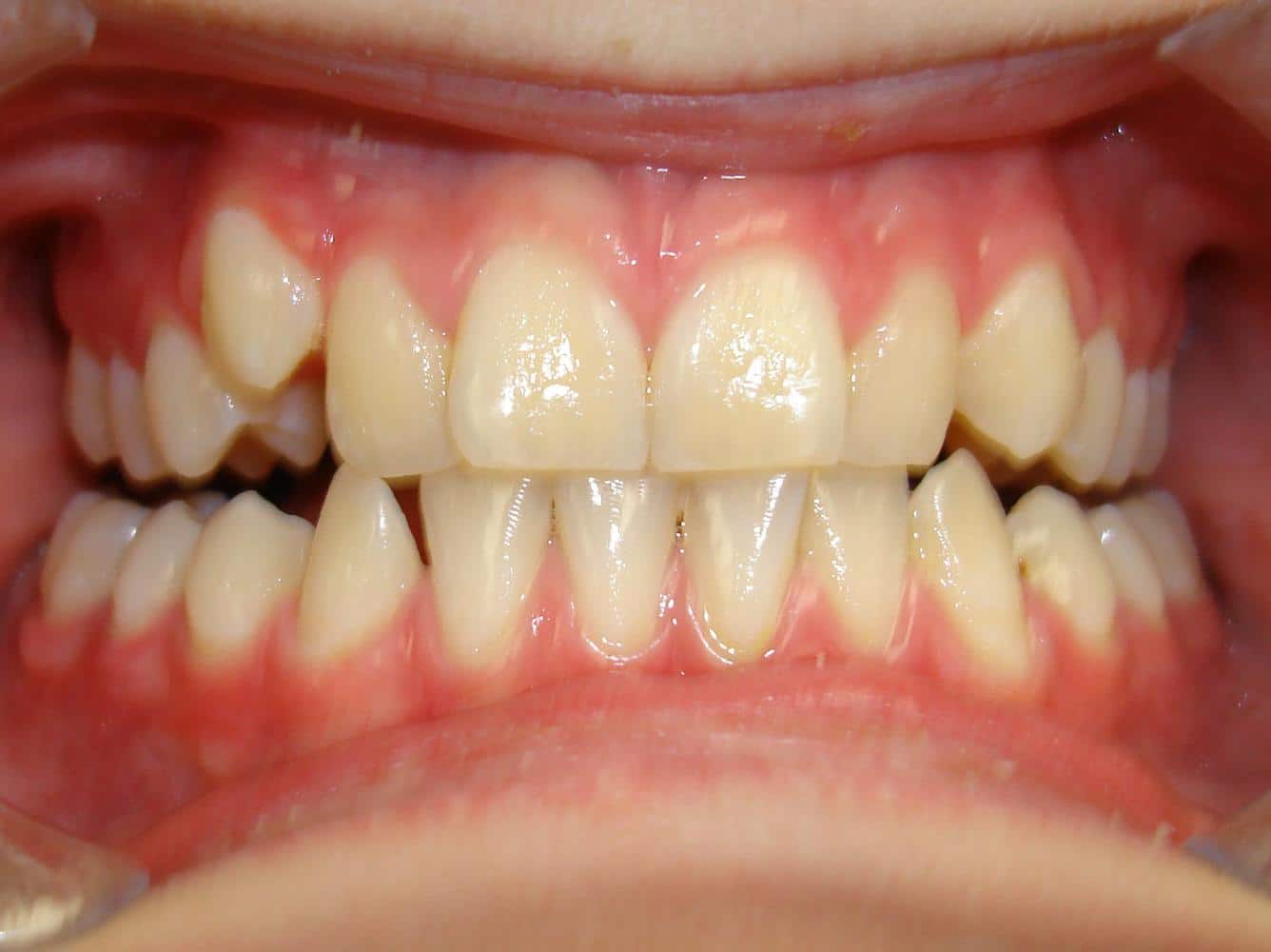
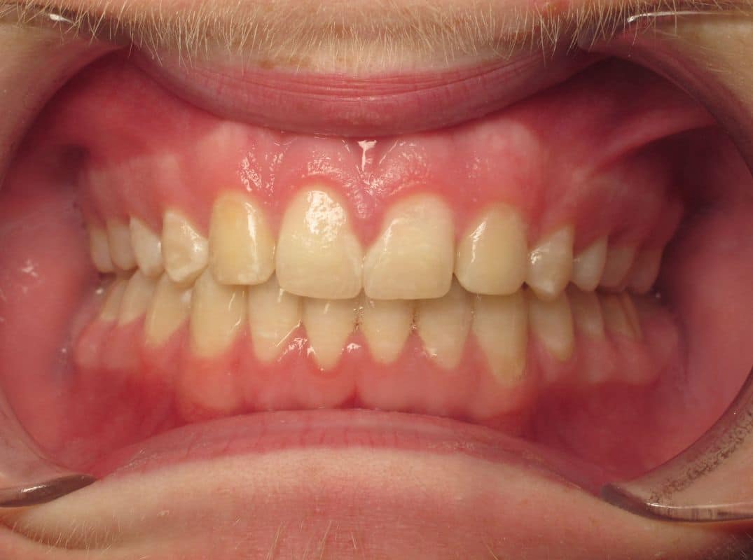
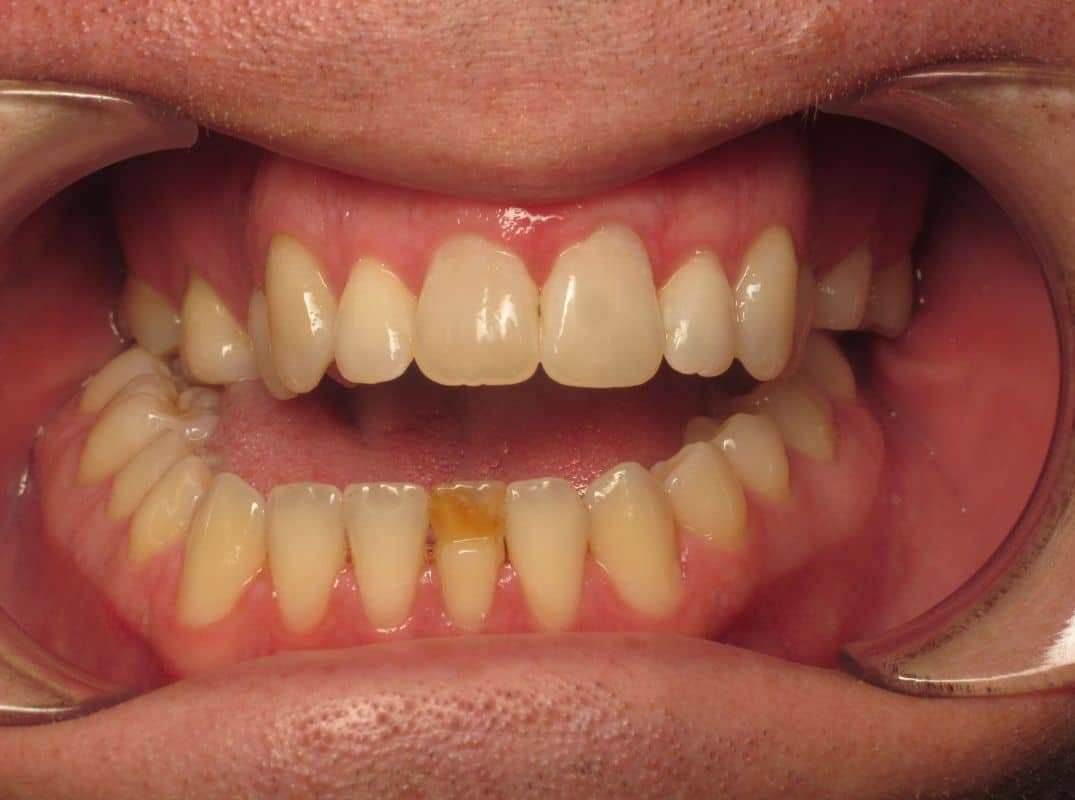
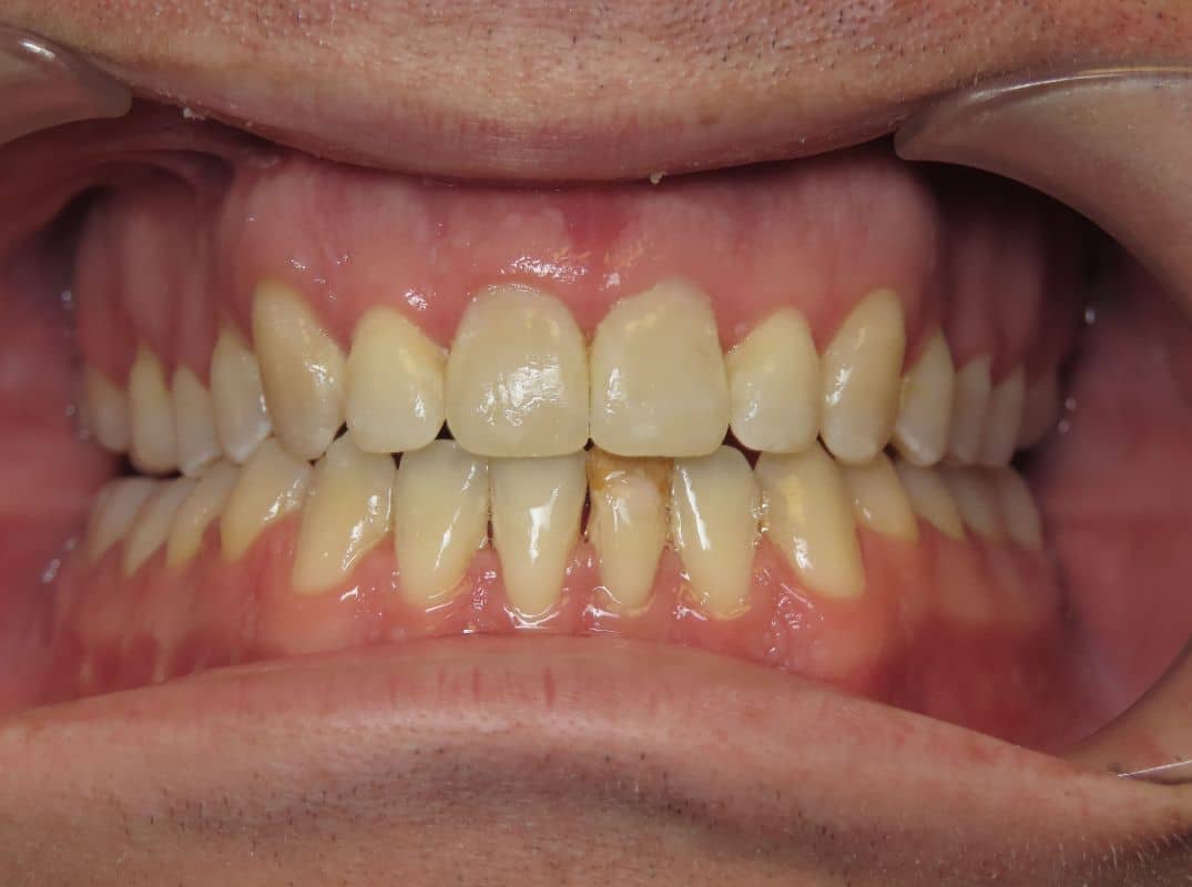
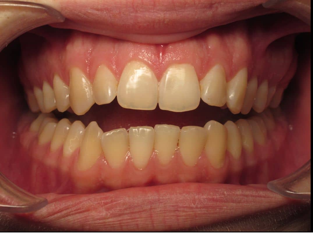
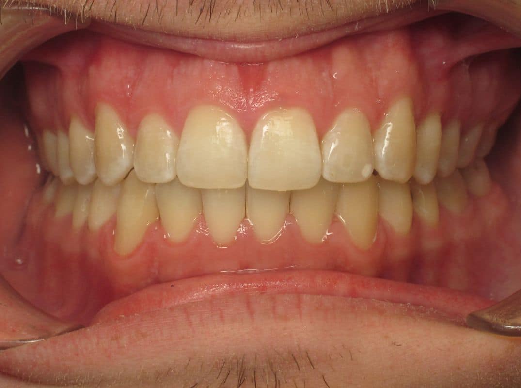
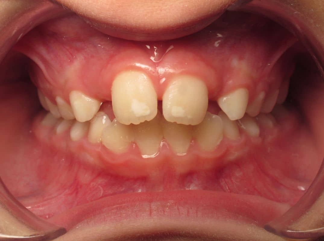
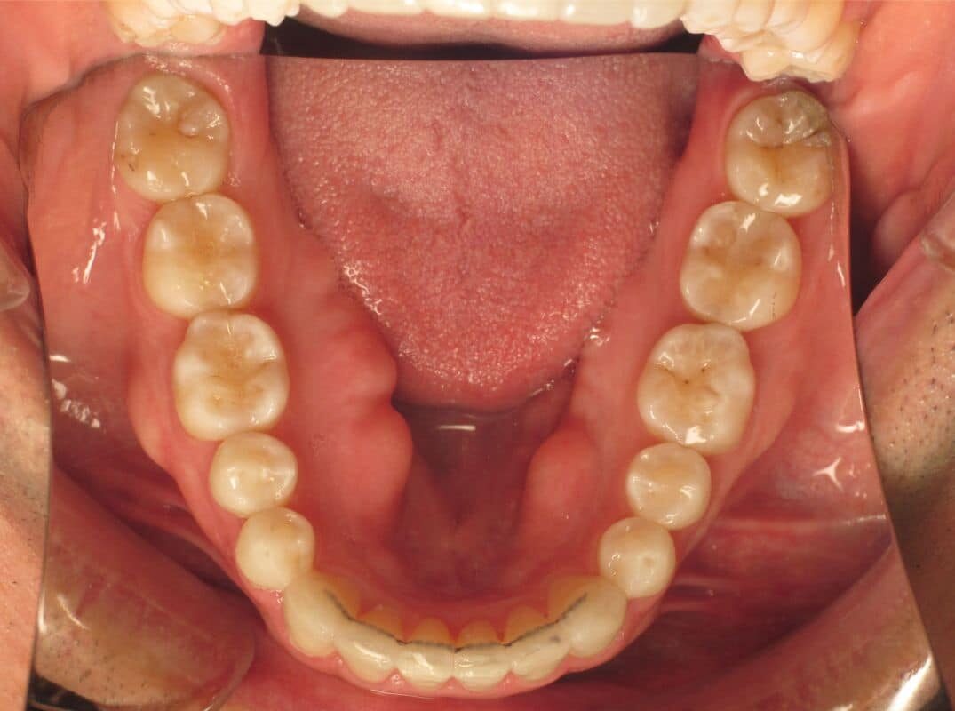
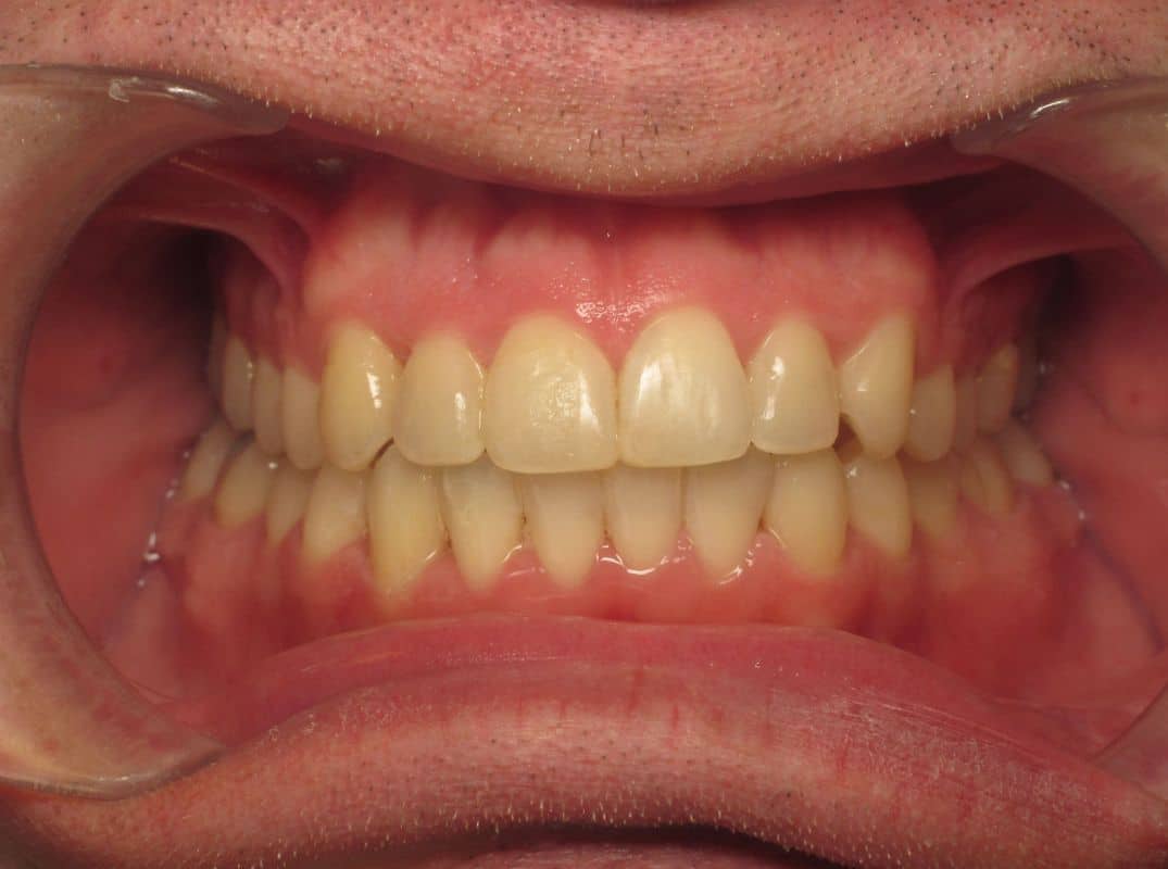
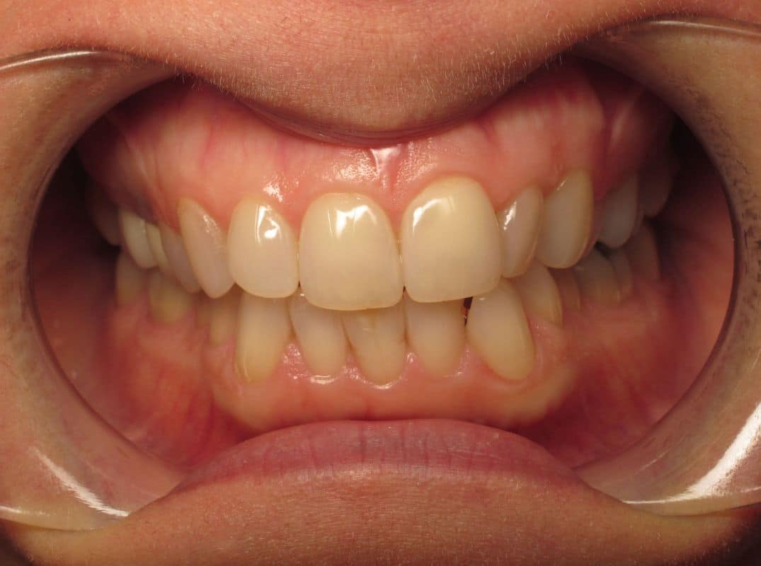
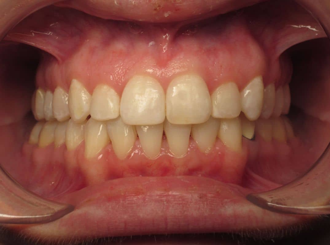
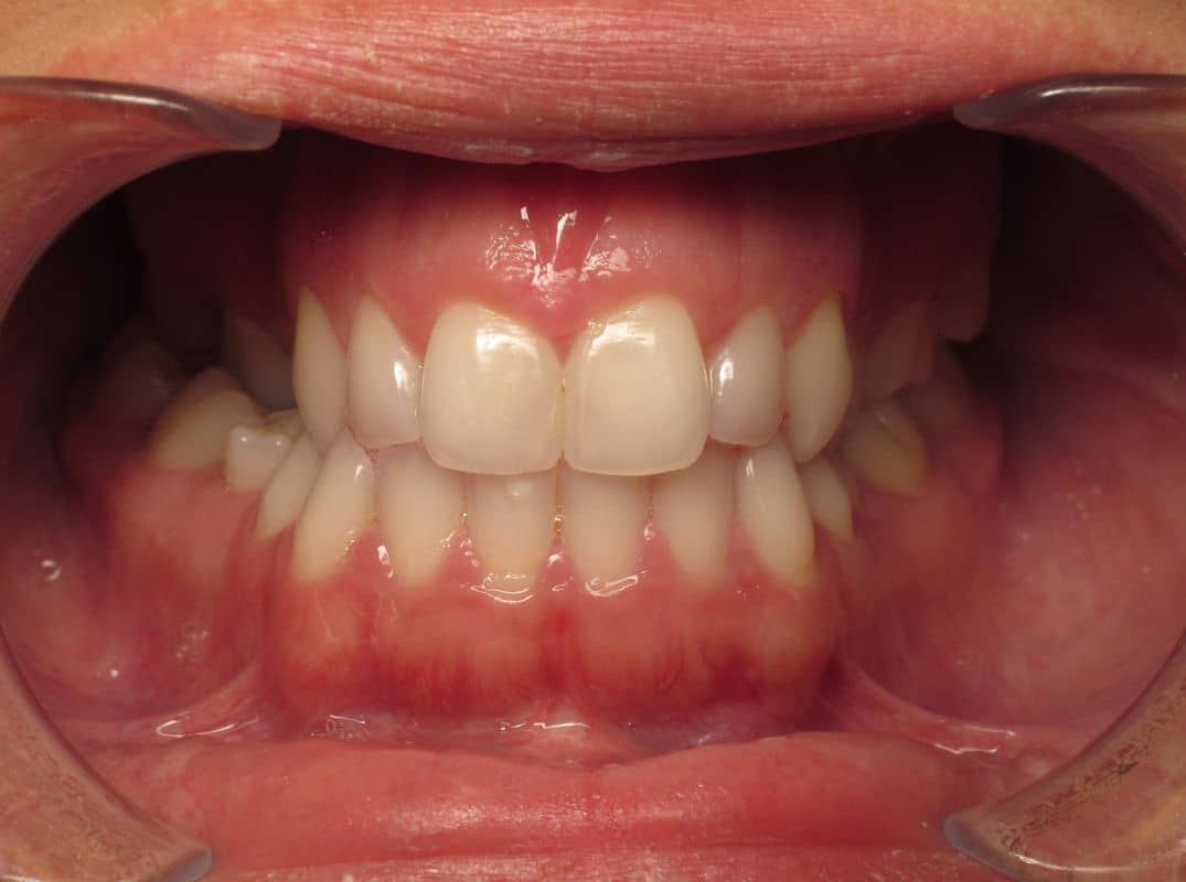
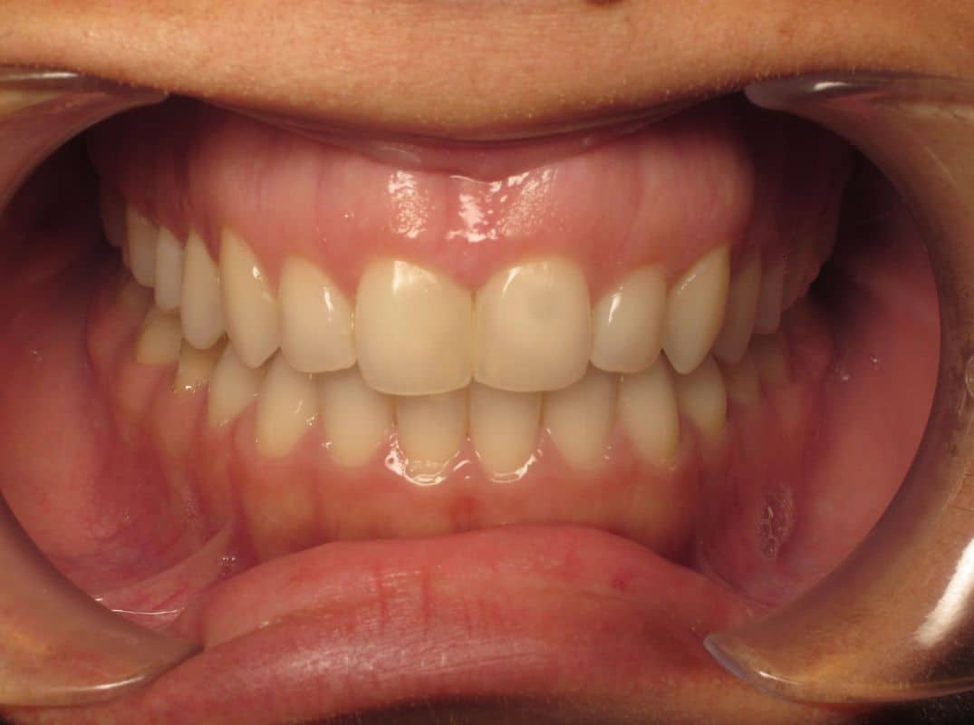
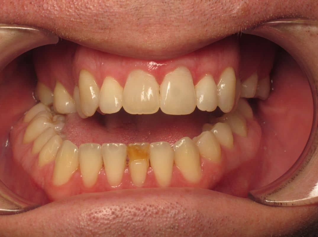
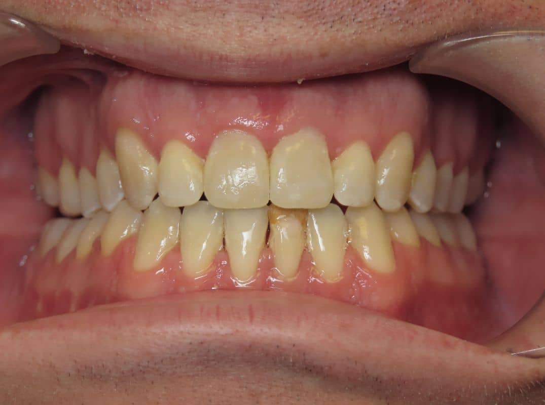
At Eberle Orthodontics, our patient transformations put a smile on our faces! We love seeing your beautiful smile transformations. Scroll down to see our before and after photos that show our amazing patient results across a variety of cases. Our results speak for themselves!
Smile Before And After Transformations From Real Patients
























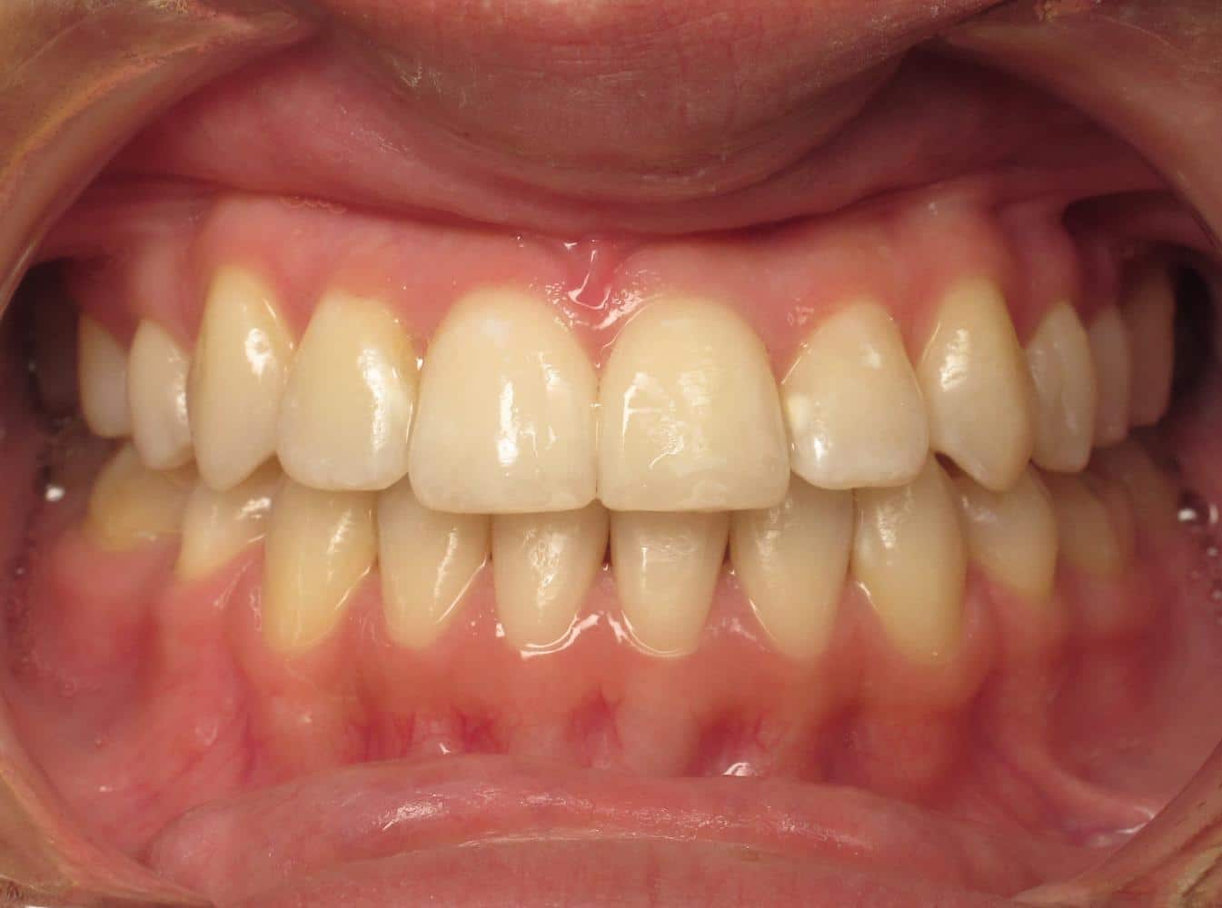
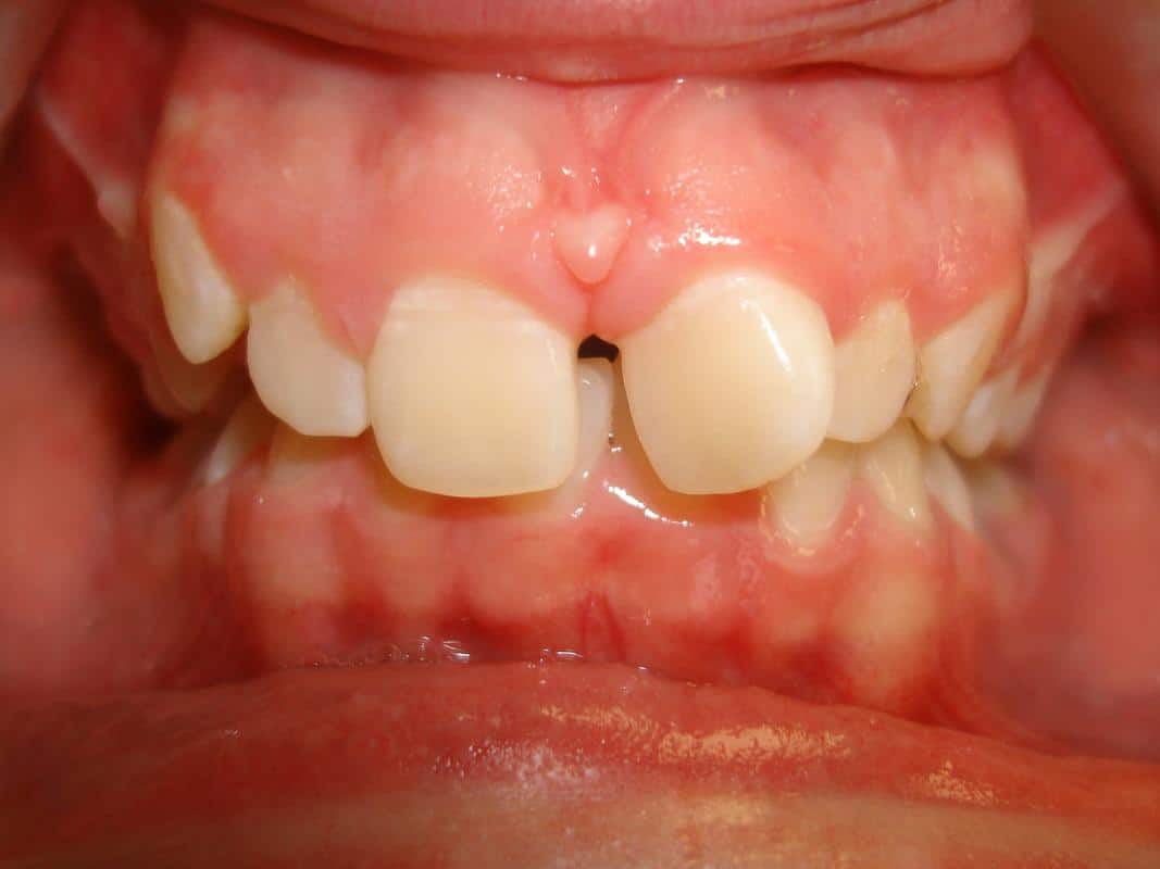
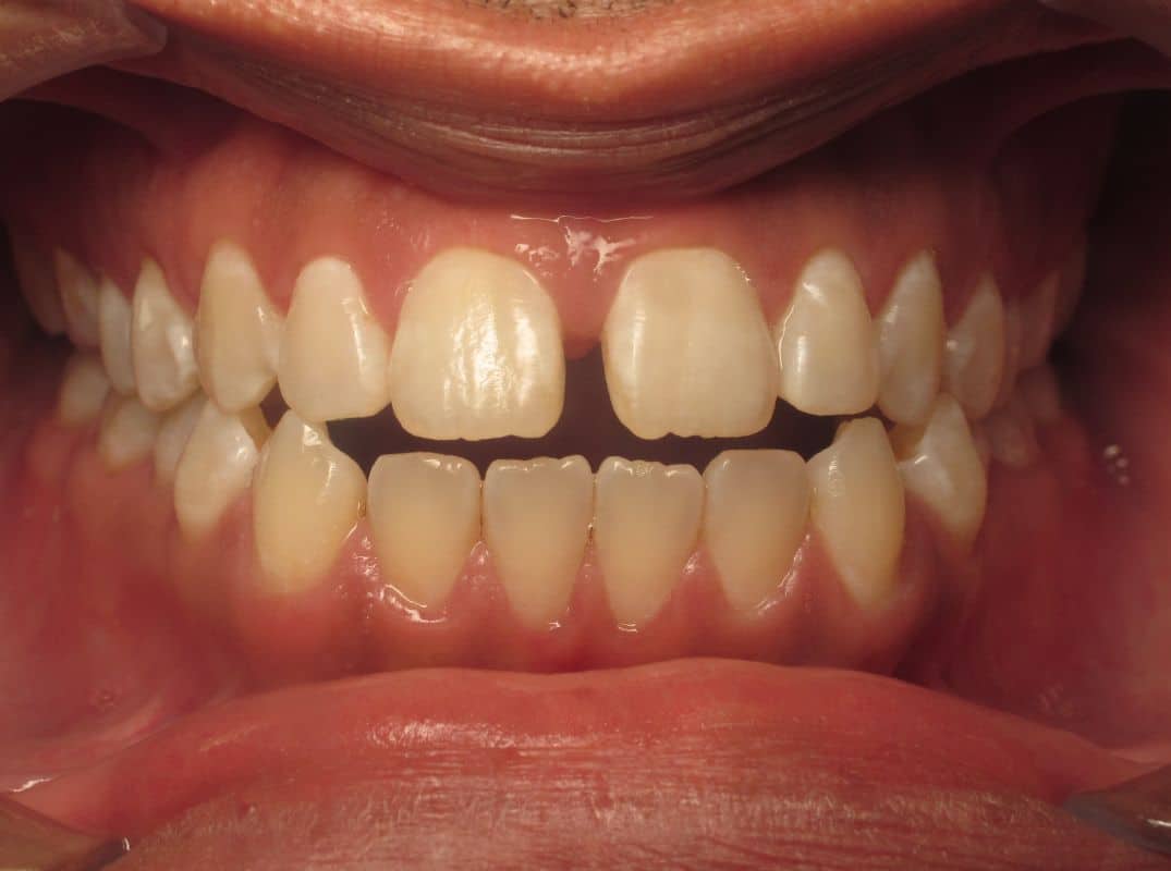
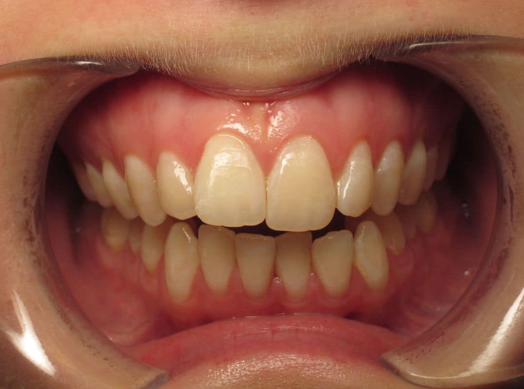
Invisalign® Transfomations
Invisalign® uses a sequence of personalized, transparent aligners to progressively move your teeth to the desired alignment, offering a subtle and convenient option compared to conventional braces. At Eberle Orthodontics, we are dedicated to helping you achieve your dream smile. View our amazing before and after Invisalign® results below!












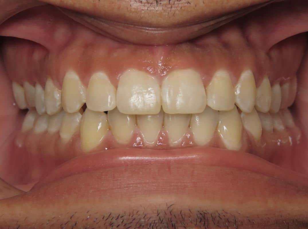
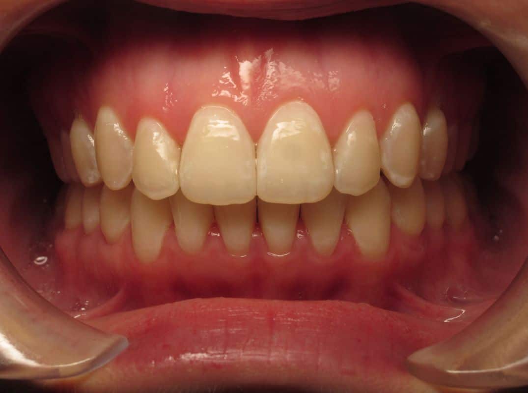
Jaw Surgery Transformations
Adult orthodontic surgery addresses orthodontic issues that cannot be fixed with standard orthodontic methods. Corrective jaw surgery focuses on correcting anomalies within the facial bones, particularly the jaws and teeth. Dr. Eberle will assess whether jaw surgery is a suitable treatment option for your specific case. View our amazing before and after jaw surgery results below!




Personalized Orthodontic Care For The Whole Family
Let’s Get Started
Dr. Eberle provides cutting-edge, personalized orthodontic solutions in the vibrant Cherry Creek district of Denver, Colorado. Whether your orthodontic needs are straightforward or intricate, and whether you’re a child, teenager, or adult, Eberle Orthodontics is here to serve you and your family with enthusiasm. We look forward to meeting you and starting on this orthodontic journey together.
